Asociația BAOT KOL
Mihail Seldkov Sep 01, 2022

Mihail Seldkov din Republica Lituania .

  • Maestru de mai bine de 25 de ani
  • Fondatorul primului laborator privat din Belarus.
  • Proprietar al laboratorului digital „IQ ProLab” din Lituania

Este un tehnician dentar excelent și un tutore grozav care oferă cursuri minunate începătorilor în BAOT.

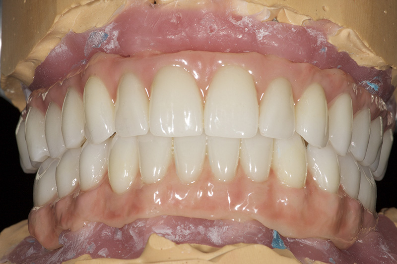
Aprecierea operelor lui Mihail Seldkov

Material de laborator dentar Pulbere de porțelan

Material de laborator dentar Pulbere de porțelan PFZ

porțelan ceramic biomaterial dentar

pulbere ceramica dentara pentru laborator dentar

lăsaţi un mesaj

lăsaţi un mesaj
dacă aveți întrebări sau sugestii,vă rugăm să ne lăsați un mesaj,vă vom răspunde cât mai curând posibil!

Acasă

produse

whatsapp